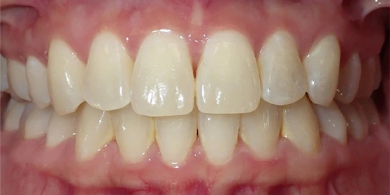
At Implants Cocoa Beach, Dr. Hardik Patel is committed to creating confident, beautiful smiles with advanced clear aligners treatments right here in Cocoa Beach. Unlike traditional braces, SureSmile® provides a clear, comfortable, and modern way to straighten your teeth without the inconvenience of wires or brackets.
We are here to support you from your first consultation to your final smile. If you have been considering clear aligners, now is the perfect moment to begin your journey toward a radiant and more confident smile.
A Game-Changer?
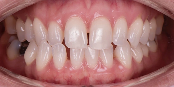
Worn Daily
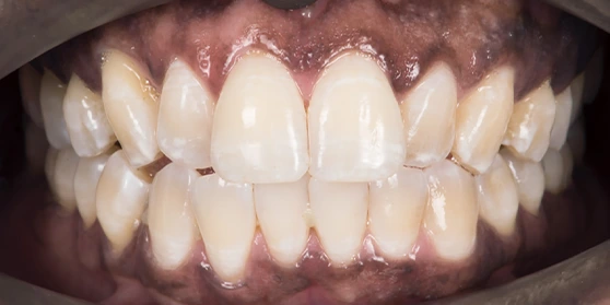
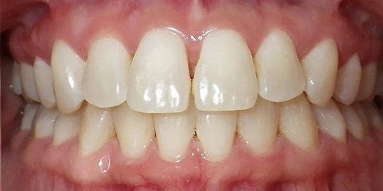
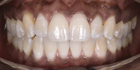
Final Results

Experienced Dentist
Dr. Hardik Patel, DDS, is a dedicated and highly skilled dentist who is passionate about providing exceptional dental care. He completed his dental degree in India in 2011 and practiced as a general dentist until 2013. Seeking new opportunities, he made the decision to relocate to the United States and further his career. Dr. Patel recently earned his Doctorate of Dental Surgery (DDS) from the esteemed University of Florida in 2021. During his professional journey, he also attended the Nova Southeastern University AAID MaxiCourse in Fort Lauderdale from 2019 to 2020, enhancing his expertise in dentistry.
With expertise in all aspects of dentistry, Dr. Patel provides comprehensive dental care, ranging from simple fillings to full mouth reconstructions. He is dedicated to delivering exceptional treatment to his patients.
Outside of the office, Dr. Patel cherishes quality time with his wife and two beautiful daughters. He enjoys engaging in his favorite hobbies, such as volleyball, tennis, and golf. Dr. Patel actively participates in charitable dental camps, cultural and religious activities, and health and wellness fairs throughout Brevard County.
Dr. Hardik Patel, DDS is a skilled and compassionate dentist dedicated to providing exceptional dental care.
With expertise in everything from simple fillings to full mouth reconstructions, Dr. Patel ensures every patient receives personalized, high-quality care.
Outside the clinic, he enjoys time with his wife and two daughters and stays active with volleyball, tennis, and golf. He’s also passionate about giving back through local dental camps and community wellness events.