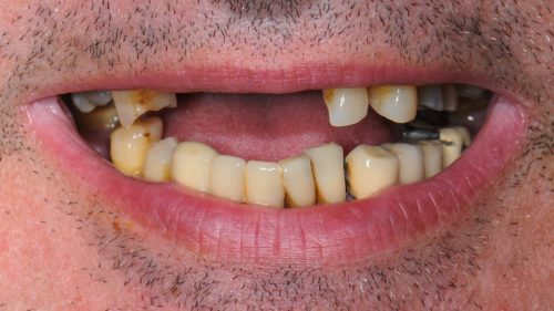
Missing A Tooth?
Try Single

Dental Implant

Starting From

$5499

$3,999*

Starting From

$5,499

$3,999*

Dr Hardik Patel – Dental Implant Specialist at Implants Cocoa Beach

5/5

Dr. Hardik Patel

TOP 1% Dental implants

10 years experience

Missing A Tooth?
Try Single

Dental Implant

Starting From

$5,499

$3,999*

Missing a tooth can affect your smile, confidence, and chewing ability. At Implants Cocoa Beach, we provide a simple and effective solution with a single dental implant that feels natural and lasts long. Regain your smile and eat, speak, and smile comfortably again.

Dr Hardik Patel – Dental Implant Specialist at Implants Cocoa Beach

5/5

Dr. Hardik Patel

TOP 1% Dental implants

10 years experience

Benefits of Single Dental Implants

Single dental implants offer a reliable and long-lasting solution for replacing a missing tooth. They help restore both function and appearance for a natural, confident smile.

Why Choose Implants Cocoa Beach?

01

Experienced Dental Care

Dr. Hardik Patel has years of experience in dental implants, ensuring accurate and safe procedures. Patients receive professional care from consultation to final restoration.

02

Advanced Technology

We use modern imaging and implant placement tools to provide precise results. This reduces discomfort and supports faster recovery.

03

Personalized Treatment

Each implant plan is created to meet the individual needs of the patient. This ensures a natural fit and long-lasting results.

Our Premium Dental Implants
have helped 1000’s of patients.

*Any surgical or invasive procedure carries risks. Seek a second opinion from an appropriately qualified health practitioner before proceeding.

A Permanent, Natural-Looking Solution
For Missing Teeth In Cocoa Beach

Need Guidance? Let Us Help You Make the

Right Choice

Need help? Our team is here to provide clear answers and expert advice to help you make confident decisions. We’re committed to supporting you every step of the way.

Boost Your Confidence

Dental implants replace missing teeth, providing a natural-looking smile while enhancing confidence and self-esteem.

Improve Oral Hygiene

Functioning like natural teeth, dental implants make oral care easier, help reduce plaque buildup, and lower the risk of cavities.

Support Your Health

Dental implants restore proper chewing and digestion, contributing to overall oral and long-term health.

Implants Cocoa Beach: Single Implant Offers Amazing Benefits

At Implants Cocoa Beach, our single implant offers a natural, durable, and confident solution for missing teeth.

Apple.jpg

Long-lasting and durable

damage-tooth.jpeg

Natural appearance and feel

dentures.jpg

Easy oral hygiene

Smile-natural.jpeg

Prevents bone loss and maintains facial structure

Enter your details below to schedule your consultation & claim your offer!

Get in touch with us today to schedule your consultation and restore your smile.

Single Implant Premium Provider

At your first appointment:

  • Your suitability for dental implants will be assessed through X-rays and a 3-D CT scan.
  • We will review the potential risks and benefits of dental implant treatment with you.
  • A comprehensive treatment plan will be provided for your consideration.
photo-smiling-dentist-standing-with-arms-crossed-with-her-colleague-showing-okay-sign_496169-1043

Ready To Restore Your Smile?

Got Questions? Ask Us!

Don’t wait another day to regain your confidence. Contact us now and take the first step toward a perfect smile.

Working Hours
Monday 8:00 AM – 4:30 PM
Tuesday 8:00 AM – 4:30 PM
Wednesday 8:00 AM – 4:30 PM
Thursday 8:00 AM – 4:30 PM
Friday Close
Saturday Close
Sunday Close
321-784-4321 | 503 N Orlando Ave, Suite #101, Cocoa Beach, FL 32931

© 2004 – 2025 All Rights Reserved | Implants Cocoa Beach